
¸Þ°¡Á¨
ÀÓÇöõÆ®´Â cortical bone ¼Õ»óÀ» ÃÖ¼ÒÈ Çϱ⠶§¹®¿¡ Ãʱâ°íÁ¤ÀÌ ¸Å¿ì ÁÁ´Ù.
Áï½ÃºÎÇϰ¡ °¡´ÉÇÏ´Ù´Â ¸»ÀÌ´Ù.
±×·³ º¸Ã¶ µðÀÚÀÎÀ» ¾à°£¸¸
¹Ù²ãµµ ´õ ÁÁÀº °á°ú¸¦ ¾òÀ» ¼ö ÀÖÀ» °ÍÀÌ´Ù.
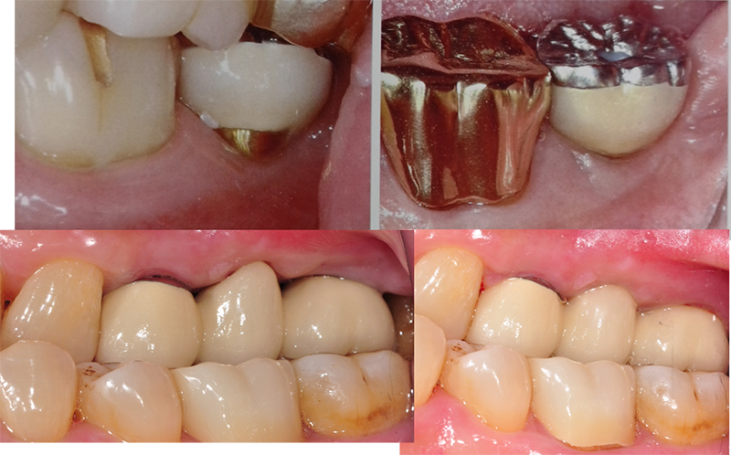
¹Ù·Î EzcÀÇ convertible abutment(Ezc ab)¸¦ ÀåÂøÇÒ ¼ö ÀÖ´Ù. ¸Å¿ì ¾ÈÁ¤ÀûÀÎ º¸Ã¶ µðÀÚÀÎÀÌ µÉ ¼ö ÀÖ´Ù.

¼ö¼úÇÏ°í ¹Ù·Î convertible abutmentÀÎ Ezc ab¸¦
ÀåÂøÇϰí ÀλóÀ» 䵿Çß´Ù. Àӽú¸Ã¶¹°À» ¸¸µé±â À§Çؼ´Ù.
Ezc convertible
abutment¸¦ À§Ä¡½Ãų ¶§ ¼ö¼ú Á÷ÈÄÀ̹ǷΠÀÕ¸öº¸´Ù 1.0~1.5mm ÇϹ濡 À§Ä¡½Ã۸é ÁÁ°Ú´Ù.

Abutment level
impression(fixture level impressionÀÌ ¾Æ´Ï°í) Áï Áö´ëÁÖ ·¹º§ ÀλóÀÌ´Ù. ¹°·Ð º¸Ã¶µµ Áö´ëÁÖ ·¹º§ÀÇ º¸Ã¶ µðÀÚÀÎÀÌ µÉ
°ÍÀÌ´Ù.
¸¶ÁøÀ» Àß ÀçÇöÇÏ´Â ÇÑ °¡Áö tipÀÌ´Ù
½Ç¸°´õ¸¦ ÇȾ÷(pick-up)(¾ö¹ÐÇÑ Àǹ̿¡¼´Â transfer (Æ®¶õ½ºÆÛ))ÇØ¼ ·¯¹ö Àλóü¿¡ ¡®Àç À§Ä¡¡¯½ÃŲ´Ù.
Polysiloxan light
body impression material¸¦ Â¥
³Ö´Â´Ù. ÀÕ¸ö¿¡ °¡·ÁÁ³´ø ¸¶ÁøÀÌ ÀçÇöµÈ´Ù. ÀÓÇöõÆ®ÀÇ ±¸¼ºÇ°µéÀº °¢±â
µ¿ÀÏÇÑ ±Ô°ÝÀ» °®°í ÀÖ´Ù. ÀÓÇöõÆ® º¸Ã¶ÀÌ ½¬¿î ÀÌÀ¯´Ù.
¿Ï¼ºµÈ ¼®°í ¸ðÇü¿¡¼ Åë¹ý´ë·Î º¸Ã¶¹°À» ¸¸µé¸é µÈ´Ù.
Healing Ab
1-piece
Ab
Convertible Ab(EZC,MUA,Octa µîµî)
2-piece Ab
À» ö°Å ÇßÀ» ¶§
ÀÕ¸ö ³»¸éÀÇ ¸ð½À.
Micro-gap or Micro mobility

»¡°²°Ô µÇ°Å³ª Çǰ¡ ³ª¸é ¾È µÈ´Ù.
Micro mobility°¡ ÀÖÀ¸¸é ¹ßÀûµÈ Ä¡ÀºÀ» º¼ ¼ö ÀÖ´Ù.
35N ÈûÀ¸·Î Á¶¿©Áø convertible abutmentÀ» Ç®¾î¼ »©º¸¸é ¾à°£ ÇϾé°Ô º¸ÀÌ´Â °æ¿ìµµ
ÀÖ´Ù. ±×¸®°í »ì¦ Âõ¾îÁö¸é¼ Ç͹æ¿ïÀÌ ¸ÎÈ÷´Â
¾ç»óµµ º¸ÀδÙ. Hemi-desmosome¿¡ ÀÇÇÑ ºÎÂøÀÌ ¶³¾îÁö¸é¼ ³ªÅ¸³ª´Â °á°ú´Ù.
Hemi-desmosome¿¡ ÀÇÇÑ ºÎÂøÀÌ ¼Õ»ó ¹ÞÁö ¾Ê¾Æ¾ß ÀÕ¸ö ÇϹ濡 ÀÖ´Â Ä¡Á¶°ñµµ º¸È£°¡ µÈ´Ù. Àý´ëÀû ¸íÁ¦·Î ¿©±â´Â °ÍÀÌ ÁÁ´Ù.
2. Emergence profile À» ¸¸µå´Â µ¥ ÃÖ°í
±×·¡¼ ÀüÄ¡ºÎ¿¡¼´Â ÇöÀç °ÅÀÇ ÀÌ ÀÓÇöõÆ®(Astra type implant)¸¦ ¾²°í ÀÖ´Ù.
Fixture topÀÌ ITI¿Í´Â ´Ù¸£°Ô bone levelÀ̶ó¼, pink esthetics(ÀÕ¸öÀÇ ½É¹Ì)À» ±¸ÇöÇϱâ
À§ÇÑ ÀÕ¸öÀÇ µÎ²²¸¦ ´Ù¾çÇÏ°Ô È®º¸ÇÒ
¼ö ÀÖ´Ù.
Emergence profileÀ» ±¸ÇöÇϱâ À§Çؼ´Â ÃæºÐÇÑ µÎ²²ÀÇ ÀÕ¸öÀÌ ÇÊ¿äÇÏ´Ù.
º¯¿¬°ñÀÌ ¾ÈÁ¤µÇ±â
¶§¹®¿¡ ±¸ÇöÇÑ ÀüÄ¡ºÎÀÇ ½É¹ÌÀû »óŸ¦ °è¼Ó À¯ÁöÇÒ ¼ö ÀÖ´Ù.
Fixture top placement, Abutment selection, Margin placement, &
Sub-gingival contour of
crown¸¦ ÃÑüÀûÀ¸·Î °í·ÁÇØ¾ß ÀüÄ¡ºÎ EstheticsÀ» ±¸ÇöÇÒ ¼ö ÀÖ´Ù.
Emergence profileÀº ÀüÄ¡ºÎ
½É¹Ì»Ó¸¸ ¾Æ´Ï¶ó ±¸Ä¡ºÎ¿¡¼´Â ¡®À½½Ä¹° Àú·ù¡¯¸¦ ¸·´Â´Ù.
´ë½Å, ÈûÀÇ
ºÐ»ê¿¡ µû¸¥ ÇȽºÃÄ¿Í ¾î¹þ¸ÕÆ® º¸È£¶ó´Â °üÁ¡°ú´Â ÀüÇô º° °³ÀÇ °Í
Emergence profile!
±í°Ô ½É¾î¾ß ÇÑ´Ù.
ÀüÄ¡ºÎ´Â 6mm,
±¸Ä¡ºÎ´Â
4mm ÀÌ»ó ±í°Ô ½É¾î¾ß ÇÑ´Ù.
Sub-gingival contour ±îÁö ±¸ÇöÇØ ³»¾ß ÁøÂ¥ emergence profileÀÌ´Ù.

¸Þ°¡Á¨
ÀÓÇöõÆ®ÀÇ ¾î¹þ¸ÕÆ®°¡ °®´Â S-lineÀ̸é Á·ÇÏ´Ù°í
»ý°¢ÇÑ´Ù.
ÀüÄ¡ºÎÀÎ °æ¿ì ½É¹Ì¼º¿ä±¸°¡ ¸Å¿ì Å©¹Ç·Î Ä¿½ºÅÒ ¾î¹þÀÌ ÇÊ¿äÇÒ ¶§°¡ ¸¹´Ù. »ó¾Ç ÀüÄ¡ºÎ´Â ¸Å¿ì ½É¹ÌÀûÀÎ °÷À̹ǷΠ½Ã¼ú
ÀÚü°¡ ¸Å¿ì µµÀüÀûÀÌ´Ù.
ÀüÄ¡ºÎ´Â ¿¹»Ú°Ô Çϴµ¥ ÃÖ¼±À» ´ÙÇØ¾ß ÇÑ´Ù. ¾Õ´Ï´Â
¾Ã´Âµ¥ °ÅÀÇ ¾²Áú ¾Ê´Â´Ù.
´ë½Å¿¡, ±¸Ä¡´Â ¾Ã´Âµ¥ ¾²ÀÓÀÌ ÀÖ´Ù. ÇȽºÃÄ¿¡ ÈûÀ» È¿À²ÀûÀ¸·Î Àü´ÞÇØ¾ß ÇÑ´Ù. ÇȽºÃĸ¦
º¸È£ÇÏ´Â ¾î¹þÀ» ½á¾ß ÇÑ´Ù.
ÀÌÁö Å©¶ó¿îÀÇ ¾î¹þÀº °¢ ȸ»çÀÇ ¾î¹þ ÇüŸ¦ µû¸£±â ¶§¹®¿¡ ü°á¿¡ ¾î¶² ¹®Á¦µµ ¾ø´Ù.

Ez lockÀÇ abutment
¶§ºÎÅÍ »ý»ê.
Á¤Ç°¿¡ ¸ø Áö
¾Ê´Â Á¤¹Ðµµ.
ºÎ»ê´ëÇб³¿¡¼ ºÐ¼®ÇÑ SEM »çÁøÀÌ´Ù .
MegaGenÀÇ S-line
cuff designÀ» ÁÁ¾ÆÇÕ´Ï´Ù
°¢°¢ÀÇ ÇȽºÃÄ¿¡ ¸Â´Â Ezc abutment¸¦ Á¦ÀÛÇØ¼ ¼·Î ȣȯµÇ°Ô ÇØ ³ù´Ù.
Ez lock overdenture
system ¶§ºÎÅÍ °¢ ÇȽºÃÄ¿¡ ¸Â°Ô abutment ¸¦ ¸¸µé¾î ¿Ô´Ù.

Ezc ÀÇ Ãâ¹ßÀº ¾î¹þÀÇ ±×·çºê(groove)¿¡ ½Ç¸°´õÀÇ º¼ÀÌ ¶ôÅ·µÇ´Â ±¸Á¶¿´´Ù.
ȸÀü ¹æÁö´Â ¾î¹þÀÇ »ó´Ü¿¡ ÀÖ´Â Çí»ç ±¸Á¶°¡ ´ã´çÇß´Ù. ±×·¯³ª
Çí»ç¿¡ ÀÇÇÑ anti-rotationÀº ±¸Á¶¹°ÀÌ °®´Â À¯°Ý ¶§¹®¿¡ ÇѰ谡 ÀÖ¾ú´Ù. ºê¸´Áö¿¡´Â ¾ÕµÚ Áö´ëÁÖ¿¡¼ ¼·Î »ó¼âÇϱ⠶§¹®¿¡ ¹®Á¦°¡ ¾øÁö¸¸, ½Ì±Û ÄÉÀ̽º¿¡¼ »ç¿ëÇÑ °æ¿ì ¹Ì¼¼ÇÑ ¿òÁ÷ÀÓÀÌ °üÂûµÆ´Ù. ¹°·Ð º¸Ã¶¹° ÀåÂø ½Ã´Â ´À³¢Áö ¸øÇÏ´Â ¹Ì¼¼ÇÑ ¿òÁ÷ÀÓÀÌ´Ù. ½Ã°£ÀÌ °æ°úÇÑ ´ÙÀ½ ¸®ÄÝ ½Ã ȯÀÚ¿¡°Ô ¹°¾îºÁ¼ ¾Ë Á¤µµ·Î ÀÌ
¿òÁ÷ÀÓÀº ¹Ì¹ÌÇß´Ù. ±×·¯³ª Àú´Â ÃÊâ±â 6¸íÀÇ È¯ÀÚ ½Ã¼ú¿¡¼ ¿òÁ÷ÀÓÀ» ¹ß°ßÇß´Ù. Áï½Ã ´ëÃ¥À» ¼¼¿ö¼ ÇöÀç ¿ì¸®°¡ »ç¿ëÇϰí ÀÖ´Â ½Ì±Û ŸÀÓÀÌ
¸¸µé¾îÁö°Ô µÆ´Ù. ÀÌ ½Ì±Û ŸÀÔÀÌ °³¹ßµÈ ÀÌÈÄ È¸ÀüµÇ´Â ¿òÁ÷ÀÓÀº °üÂûµÇÁö ¾Ê¾Ò´Ù.
ÀÌ ÀÓ»ó ÄÉÀ̽º´Â ºê¸´Áö ŸÀÔÀ»
½Ì±Û ŸÀÔÀ¸·Î ¹Ù²ãÁÖ±â À§ÇÑ ÀÛ¾÷ Áß ÀÏ¾î³ ÀÛÀº ¼Òµ¿À» ±â·ÏÇß´Ù.
¾î¹þÀ» Ç®´Ù°¡ Ç÷¿Æû¿¡ ÀÖ´Â
Çí»ç°¡ ¸Á°¡Á³´Ù. Ç® ¼ö°¡ ¾ø¾ú´Ù. 4.4 mm ³»°æÀ» °¡Áø solid ab ü°á µå¶óÀ̺긦 ÀÌ¿ëÇϱâ·Î Çß´Ù.
¸ÕÀú Ezc ¾î¹þÀÇ Á÷°æÀ» ´ÙÀ̾Ƹóµå ¹ö·Î »ì¦ ´ÙµëÀº ´ÙÀ½, ½½·ÔÀ» ¸¸µé°í, À̰÷¿¡ solid ab µå¶óÀ̹ö°¡ »ðÀԵǵµ·Ï ÇÑ´Ù. µ¹¸®¸é ½±°Ô Á¦°ÅµÈ´Ù.

ÀÕ¸öÀÌ ¿ôÀÚ¶ú´Ù.
±¸Ä¡ºÎ´Â ½É¹Ìº¸´Ù´Â ÀúÀ۷¸¦ Àß
¹öÅß¾ß ÇÑ´Ù.
Emergence profile¸¦ °Á¶ÇÏÁö ¾Ê´õ¶óµµ
ÀÕ¸öÀÌ ¿ôÀÚ¶ó¼ ÀÚ¿¬½º·´°Ô µÉ ¶§µµ ¸¹´Ù. ±×·¡¼ Ezc abutment¸¦ ¼±ÅÃÇÒ ¶§ °¡´ÉÇÑ equi-gingiva ÀÌ»óÀ¸·Î ¸ÂÃß´Â °Ô À¯¸®ÇÏ´Ù.
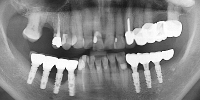
Submerged implantÀÇ ´ÜÁ¡
1) Fixture or/& Abutment fracture, Screw loosening
• Small diameter fixture(3.5mm Á÷°æ )¿¡¼ ¸¹ÀÌ ¹ß»ý
- High
occlusal load area(´ë±¸Ä¡, ƯÈ÷ ½Ì±ÛÀÎ °æ¿ì)¿¡¼´Â À§Çè;
±¸Ä¡ºÎ ´ÜÀÏ ÀÓÇÁ¶õÆ®´Â ÃÖ¼ÒÇÑ Áö¸§ÀÌ 4.5mm 4.8mm, 5.0mm ÀÌ»óÀÇ °ÍÀ» »ç¿ë
• fixture ³»ºÎ ¼ÓÀ¸·Î ü°áµÇ´Â abutment ¶§¹®¿¡ »ý±â´Â ±¸Á¶Àû ÇѰè·Î ¾î¹þ¸ÕÆ®¿Í
ÇȽºÃÄÀÇ ÆÄÀý °¡´É¼ºÀÌ ºñ±³Àû ³ô´Ù´Â ÃÖ´ë ´ÜÁ¡À» °®°í ÀÖ´Ù.
ÀÌ·¸°Ô Âõ¾îÁö´Â °ÍÀ» º¸¿ÏÇϱâ À§Çؼ ³ª¿Â ÀÓÇöõÆ®°¡ ¼ÒÀ§ ½ºÆ®¶ó¿ì¸¸ÀÇ ITI implant´Ù. Bone level¿¡¼ gingiva level·Î ¿Ã¶ó¿À¸é¼ ÇȽºÃÄ µÎ²²°¡ °ÈµÈ °ÍÀÌ´Ù.
2) Sinking(sink down, ħÇÏ)

À¯·´ °ñÀ¶ÇÕÇÐȸ( European Association for
Osseointegration)

´ë±¸Ä¡ºÎ, ƯÈ÷ 7¹ø ½Ì±ÛÀº À§ÇèÇÏ´Ù. ¶ÇÇÑ 6¹ø ½ÉÀ» ¶§ M-D distance(¾Õ-µÚ Æø°æ)°¡ 12mm Âë ³ª¿Í¼ 2°³ÀÇ ÇȽºÃÄ´Â ¸ø ½É°í ÇÑ °³ ½É¾î¼ ÇØ°áÇÏ´Â °æ¿ì¿¡ ƯÈ÷
Á¶½ÉÇØ¾ß ÇÑ´Ù.
ÇȽºÃĵµ Âõ¾îÁú ¼ö ÀÖ°í, ¾î¹þ¸ÕÆ®µµ ºÎ·¯Áú ¼ö ÀÖ´Ù. ¶ÇÇÑ ³ª»ç Ç®¸²µµ ¸¹ÀÌ ¹ß»ýÇÑ´Ù. ÀÌ·± Ưº°ÇÑ °æ¿ì¿¡µµ EZC¿Í °°Àº convertible abutment°¡ À¯¸®ÇÏ´Ù.
Lever arm
±¸Á¶Àû ÇѰè
Sink down

Cement –washout remained
Áö·¿´ë ¿ø¸®; Áö·¿´ë°¡
±æ¸é ±æ¼ö·Ï ¿¬°áºÎÀ§¿¡¼ Å»ÀÌ ³¯ °¡´É¼ºÀÌ ¸¹´Ù. ITI<ext<sub ¼øÀ¸·Î ±æ¾îÁø´Ù.
±¸Á¶Àû
ÇѰè


±¸Á¶Àû Ãë¾à¼ºÀ» ±Øº¹Çϱâ À§Çؼ Àç·áÀÇ ¾÷±×·¹À̵尡 °è¼Ó µÇ°í ÀÖ´Ù. Àç·áÀû Ãø¸é »Ó¸¸ ¾Æ´Ï¶ó ±â°èÀû Ãø¸é¿¡¼µµ
À̵æÀ» ¾ò¾î¾ß ÇÑ´Ù. Convertible ab °¡ ÇØ°áÃ¥ÀÌ µÉ ¼ö ÀÖ´Ù.
Bone loss
¿¡ µû¸¥ ÇȽºÃÄ ÆÄÀý

Ext. type 3.75mm Á÷°æÀÇ ÀÓÇöõÆ®.
Bruxism ÀÌ Àִ ȯÀÚ·Î½á ½É°í ±â´ÉÇÑ Áö 15³â ¸¸¿¡ ºÎ·¯Á®¼ ³»¿øÇß´Ù.
Á÷°æÀÌ 3.75mm·Î ¿¹Àü regular¿¡ ÇØ´çÇÏÁö¸¸ 4.0mmº¸´Ù ºÎ·¯Áö´Â °æ¿ì°¡ ¸¹´Ù.
¶ÇÇÑ ExtÀº º¸Ã¶ÀÌ ¿Ã¶ó°¡¸é Ç÷§Æû¿¡¼ 1.5mm °ñÈí¼ö°¡ °ÅÀÇ ÇÊ¿¬ÀûÀ¸·Î ÀϾÙ. À̹ø °æ¿ìµµ °ñÈí¼ö¿Í ±íÀº ¿¬°üÀÌ ÀÖ´Ù°í ¿©°ÜÁø´Ù.
¾Õ¿¡¼ ¾ê±âÇÑ °Íó·³ Á¦ÀÏ Áß¿äÇÑ °ÍÀº ¡°º¯ ¿¬°ñ Èí¼ö¡±°¡ ÀϾÁö ¸»¾Æ¾ß ÇÑ´Ù.

Submerged implantÀÇ ´ÜÁ¡

Wide fixture(Á÷°æ 5.5mm)
Sub typeÀº ÇȽºÃÄ Á÷°æ°ú´Â º° °³·Î ¾î¹þÀº ¸ðµÎ µ¿ÀÏÇÑ »çÀÌÁî´Ù. Ư¡ÀÌÀÚ ÀåÁ¡ÀÌ´Ù. ÇȽºÃİ¡ ºÎ·¯ÁöÁö ¾Ê¾Æ¼ ´ÙÇàÀÌ´Ù. ±×·¯³ª ¾î¹þÀÇ ¹Øµ¿ÀÌ ºÎ·¯Áø °Íµµ ¸Å¿ì Å« ÇÕº´ÁõÀÌ´Ù. ºÎ·¯Áø ¹Øµ¿À» ±ú²ýÇÏ°Ô »©³»´Â °Íµµ »ó´çÈ÷ Èûµç ÀÏÀÌ´Ù.

Ext. type 3.75mm Á÷°æÀÇ ÀÓÇöõÆ®.
Bruxism ÀÌ Àִ ȯÀÚ·Î½á ½É°í ±â´ÉÇÑ Áö 15³â ¸¸¿¡ ºÎ·¯Á®¼ ³»¿øÇß´Ù.
Á÷°æÀÌ 3.75mm·Î ¿¹Àü regular¿¡ ÇØ´çÇÏÁö¸¸ 4.0mmº¸´Ù ºÎ·¯Áö´Â °æ¿ì°¡ ¸¹´Ù.
¶ÇÇÑ ExtÀº º¸Ã¶ÀÌ ¿Ã¶ó°¡¸é Ç÷§Æû¿¡¼ 1.5mm °ñÈí¼ö°¡ °ÅÀÇ ÇÊ¿¬ÀûÀ¸·Î ÀϾÙ. À̹ø °æ¿ìµµ °ñÈí¼ö¿Í ±íÀº ¿¬°üÀÌ ÀÖ´Ù°í ¿©°ÜÁø´Ù.
¾Õ¿¡¼ ¾ê±âÇÑ °Íó·³ Á¦ÀÏ Áß¿äÇÑ °ÍÀº ¡°º¯ ¿¬°ñ Èí¼ö¡±°¡ ÀϾÁö ¸»¾Æ¾ß ÇÑ´Ù.

37¹ø 4.3 Á÷°æÀÇ ¿øÇöõÆ®
Á¦°ÅÇÏ´Ù°¡ ÈìÁýÀÌ ³¯ °Í °°¾Æ¼ Æ÷±âÇϰí
´ÙÀ½¿¡ ¾à¼Ó Àâ¾Ò´Âµ¥ ȯÀÚµµ Àúµµ ¹Ì·ç´Ù°¡ ÀÌ Áö°æµÊ.
ÆÄ³ë¶ó¸¶ »ó
°á±¹ ÇȽºÃÄ Á¦°Å
¾Æ¸¶µµ ±³ÇÕ¿¡ ¹®Á¦°¡ ÀÖ¾ú´ø µí

37¹ø abutment ÆÄÀý, µÚÂÊ¿¡ 8¹øÀÌ º¸À̰í, fixture Á÷°æÀÌ 5.0, Á¶±Ý ÈìÁýÀÌ ³ªµµ µÈ´Ù´Â »ý°¢À¸·Î Á¦°Å¼ö¼úÀ»
Çß´Ù.
3¹ø¿¡
³ª´²¼ °Ü¿ì Á¦°ÅÇÑ °æ¿ì